Elekta Esprit
Complement your competence with Leksell Gamma Knife
Not available in all markets.
Complement your competence with Leksell Gamma Knife
Lars Leksell created the Gamma Knife while searching for an alternative to open surgery for functional indications. Designed with the neurosurgeon in mind it delivers the necessary submillimeter accuracy and low dose to healthy brain tissue when treating intracranial indications. These days it is considered a proven, reliable and efficient tool which expands the treatment options for many patients.

Case studies
See how Esprit broadens the treatment options for functional indications
Learn how Leksell Gamma Knife can complement the treatment of functional indications
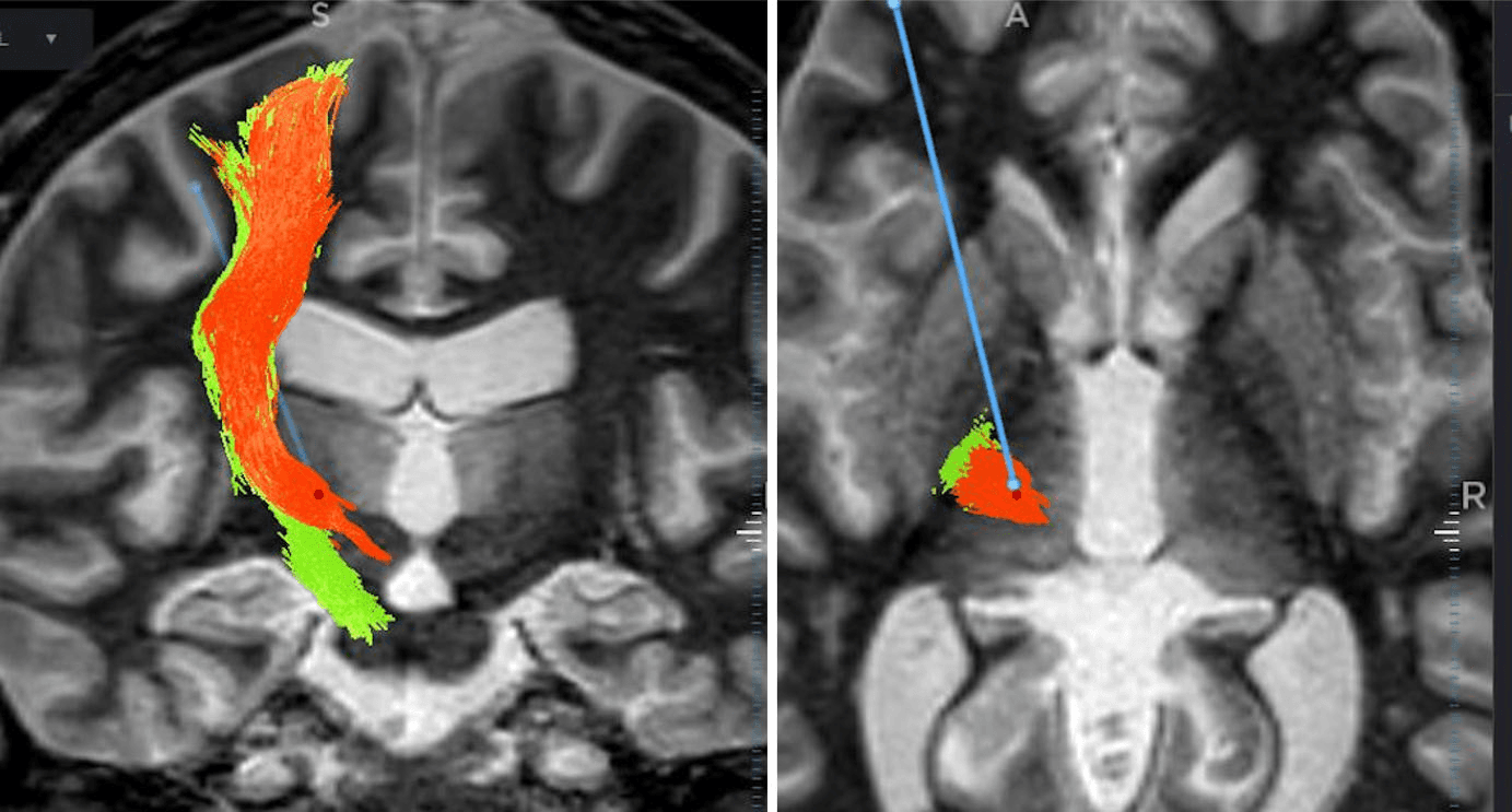
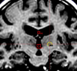
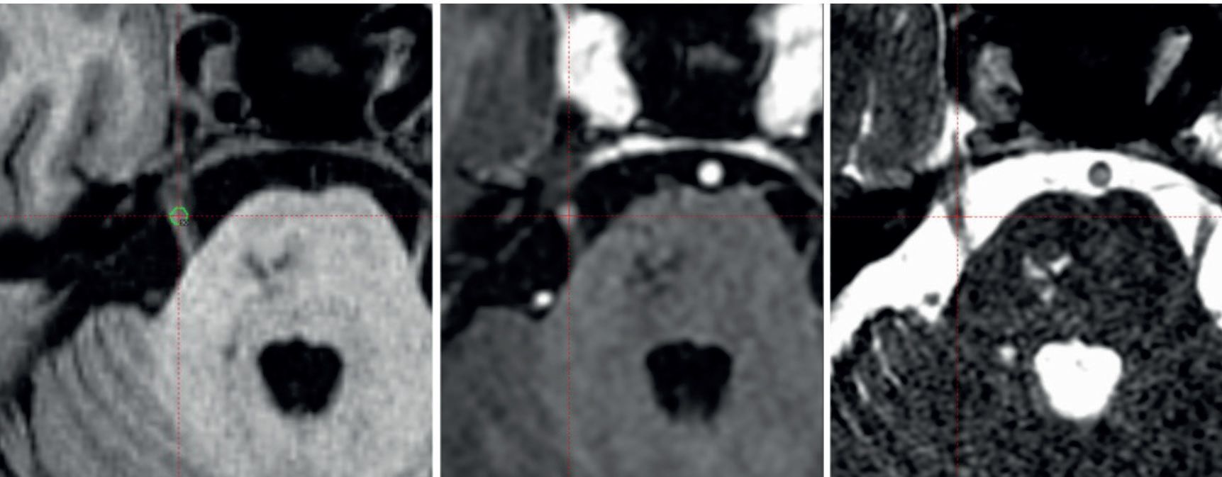
Enhanced visibility of relevant anatomy augments essential accuracy for treating functional indications
Watch the webinar
With Karolinska Hospital, Sweden, about the imaging and treatment planning benefits of Leksell Vantage for Gamma Knife


Learn why
Queen Square National Hospital decided to use Vantage for Gamma Knife
The targeting accuracy of the Vantage frame is sub-millimeter, which gave us the confidence to proceed to clinical implementation of the frame for Gamma Knife treatments.

Read more about why Neurosurgeon Neil Kitchen and Physicist Ian Paddick support Vantage for Gamma Knife
Read morePeer created evidence
Explore the published articles on how Gamma Knife broadens your options for treatment of Essential Tremor and Trigeminal Neuralgia.
Access the bibliographies
Essential Tremor
- Gamma Knife Thalamotomy for Essential Tremor: A Retrospective Analysis
- Gamma Knife® stereotactic radiosurgery as a treatment for essential and parkinsonian tremor: long-term experience
- Gamma Knife Thalamotomy for a Medically Refractory Tremors: Longitudinal Evaluation of Clinical Effects and MRI Response Patterns
Trigeminal Neuralgia
- Gamma Knife radiosurgery - 12 years of experience in a high-complexity center of a middle-income country.
- Earlier radiosurgery leads to better pain relief and less medication usage for trigeminal neuralgia patients: an international multicenter study
- Long-Term Results of Gamma Knife Radiosurgery for Trigeminal Neuralgia
Contact us
Thank you for your interest in Elekta Esprit. We can't wait for you to further explore how the Gamma Knife can complement your competence when treating functional indications.
Not available in all markets.
An asterisk (*) indicates a required entry.
References
1. With a valid service contract.
2. With Leksell GammaPlan Lightning and compared to metal frame; Ola Norbeck, MRI Physicist at the Department of Neuroradiology, Karolinska University Hospital. PhD Student at the Department of Clinical Neuroscience, Karolinska Institutet.
3. Ma et al. Int J Comput Assist Radiol Surg. 2014 Nov; 9(6):1079-1086. doi:10.1007/s11548-014-1001-4.
4. Leksell Gamma Knife Society Treatment Statistics 2020.
Looking for our patient guide to Leksell Gamma Knife radiosurgery?
Read about the treatment journey and patient stories, find your nearest Gamma Knife center or download our treatment journey flyer in your language.



