What is Elekta Unity's Comprehensive Motion Management?
Elekta Unity’s Comprehensive Motion Management (CMM) with True
Tracking and Automatic Gating combines Unity’s diagnostic quality
imaging capabilities with powerful algorithms and technology to
quantify movement and correct for it automatically, as it
happens-ensuring precise and accurate treatment delivery.
Leveraging
the power of the 1.5 T MR, anatomy-specific imaging sequences optimize
the visualization of the target and surrounding healthy tissue.
CMM now enables a safe reduction of treatment margins through a guided workflow with real-time tracking and gating — a critical advancement as we move towards dramatically smaller margins in most of our treatments.”
Explore CMM in clinical use

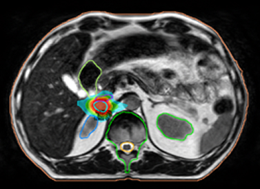
MR-guided SBRT for small adrenal gland metastases
Certainty to deliver SBRT to small soft tissue targets accurately and efficiently with 2 mm margins
Read case study
MR-guided SBRT for oligoprogressive metastatic melanoma
Treat as prescribed with certainty
Read case study
MR-guided RT for recurrent prostate re-treatment
Changing clinical practice at ARO, Negrar, Verona, Italy
Read case studyStay up to date
We are preparing more clinical case studies for you.
Why Elekta Unity’s CMM is different to other motion management systems
True Tracking
Accounting for motion whilst delivering the beam is made possible by True Tracking. It continuously tracks the 3D position of any target non-invasively and in real-time. Four strategies can be used for rapid beam gating.
Zero latency
The tracking algorithm enables the prediction of what the tumor will do next. This combined with low system latency gives confidence that the beam is turning on and off when expected.
Intrafraction drift
True Tracking enables the system to move the beam rapidly to compensate for a sustained intrafraction drift. This means when a target moves, the treatment can be adapted without the time penalty of acquiring another 3D image.
Comprehensive Motion Management—explained
Learn more about the benefits of motion management with Elekta Unity in our whitepaper.
Download whitepaper
Freedom to choose
Multiple approaches, best suited to your patient
Multiple motion management strategies that include free-breathing, breath-hold and exception gating techniques, give the freedom to choose the approach best suited for the patient and indication. Enabling you to deliver truly personalized treatment.
Respiratory motion
Beam paused when target moves outside exhale position
Free-breathing exhale

T2W Navigated
Compressed SENSE accelerated imaging
Beam paused when target moves outside expected motion
Free-breathing average position

T1W and Balanced
(with and without Fat Supression)
Motion Artifact Suppression by 3D Vane free-breathing
Beam paused when target moves outside voluntary breath-hold position
Breath-hold

T1W, T2W and Balanced
Compressed SENSE accelerated imaging
Non-respiratory motion
Beam paused when target moves outside expected motion
Exception

T1W and T2W
Consensus protocols optimized for speed or high-resolution imaging
Visual Guidance
Visual Guidance for Unity supports patients in achieving optimal breathing patterns for (CMM), enhancing treatment delivery efficiency. Real-time visual cues assist patients in maintaining breath-hold or guide them through consistent breathing in free-breathing workflows. When no active guidance is needed, a rich selection of calming themes designed to ease anxiety and improve comfort throughout their session can be displayed.

See the evidence
Hear directly from clinicians who are already transforming patient care with Elekta Unity CMM and explore webinars that share their real-world experiences and results.
Elekta Unity
More than confident—certain
Request a follow-up to learn about how Elekta Unity with CMM can help you see and treat like never before or visit our product page to read more.
Request a follow-up Elekta UnityElekta Unity and Elekta Unity Comprehensive Motion Management (CMM) functionality has CE mark and FDA 510(k) clearance. CMM may not be available in all markets.

Unlock exclusive content
Enter your email to read the full case and learn more about Elekta Unity CMM
An asterisk (*) indicates a required entry.






